Chiari Malformation Differential Diagnosis
Comparisons may be useful for a differential diagnosis. The mission of The Annals of Thoracic Surgery is to promote scholarship in cardiothoracic surgery patient care clinical practice research education and policy.

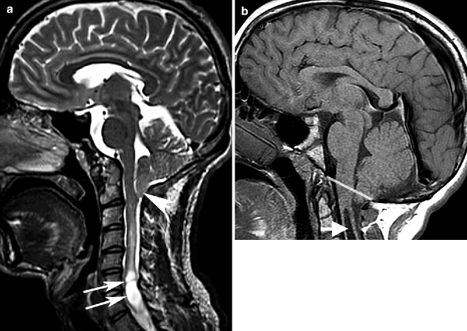
Radiology Of The Chiari Malformations Springerlink
Find information about symptoms diagnosis and treatment options to discuss with your doctor.
Chiari malformation differential diagnosis. Clin Pediatr Phila 1993. The early fusion of the skull causes the head to be cone-shaped acrocephaly. Claudication is a medical term usually referring to impairment in walking or pain discomfort numbness or tiredness in the legs that occurs during walking or standing and is relieved by rest. The Journal of Pediatric Urology publishes submitted research and clinical articles relating to Pediatric Urology which have been accepted after adequate peer review. Symptoms of the following disorders can be similar to those of Chiari malformation. Appointment Guides Take a short quiz to prepare for your appointment and build a list of important questions to ask your.
Occurrence and characterization of peripheral nerve involvement in neurofibromatosis type 2. The perceived level of pain from claudication can be mild to extremely severe. Procedures A-Z From major surgery to outpatient procedures learn what to expect and how to prepare for a successful outcome. Pediatric Neurology publishes timely peer-reviewed clinical and research articles covering all aspects of the developing nervous systemPediatric Neurology features up-to-the-minute publication of the latest advances in the diagnosis management and treatment of pediatric neurologic disorders. Neurological syncope Neurological causes of syncope include Chiari malformation hyperekplexia startle disease and paroxysmal extreme pain disorder. The association of Chiari type I malformation and neurofibromatosis type 1.
Arnold-Chiari or simply Chiari malformation is the name given to a group of deformities of the posterior fossa and hindbrain cerebellum pons and medulla oblongata. Issues range from cerebellar tonsillar herniation through the foramen magnum to the absence of the cerebellum with or without other associated intracranial or extracranial defects such as. Sperfeld AD Hein C Schröder JM et al. Beckwith-Wiedemann syndrome BWS is a growth disorder that can affect several parts of the body. Patients may use the term to indicate lightheadedness imbalance disequilibrium presyncope or vertigo. With a Chiari malformation coughing and straining on the toilet may trigger a transient loss of consciousness similar to a syncope.
Most cases of tinnitus are benign and idiopathic. The journals editor Yasmin Khakoo MD FAAN in conjunction. Claudication is most common in the calves but it can also affect the feet thighs hips buttocks or arms. DandyWalker malformation DWM also known as DandyWalker syndrome DWS is a rare congenital brain malformation in which the part joining the two hemispheres of the cerebellum the cerebellar vermis does not fully form and the fourth ventricle and space behind the cerebellum the posterior fossa are enlarged with cerebrospinal fluidMost of those affected. Video is invaluable in making the diagnosis. Babies and children are larger than normal usually until age 8 when growth slows down resulting in an average height in adults.
Apert syndrome is primarily characterized by a fusion of the skull bones that occurs too early during development craniosynostosis and webbing of the fingers and toes syndactyly. The information on the differential diagnosis of headache is based on the clinical guidelines The International Classification of Headache Disorders 3rd edition beta version Diagnosis and treatment of headache and Guideline for primary care management of headache in adults Becker 2015 and expert opinion in review articles Hainer. Dizziness is the sensation of disturbed spatial orientation without a distorted sense of motion. Chiari network has little clinical significance but it might cause trouble during percutaneous procedures. To advance and improve the education in Pediatric Urology and the diffusion of knowledge of new and improved methods of teaching and practising pediatric urology in all its branches. In echocardiography Chiari network may be confused for tricuspid vegetation flail tricuspid valve free RA thrombus and pedunculated tumors3 Careful tracing to identify its attachment to the orifice of IVC makes a differential diagnosis.
These symptom types overlap substantially and patients most often report feeling off-balance. Anatomy ascites biopsy books cirrhosis diagnostic patterns-differential diagnosis forms of hepatic injury grossing frozen section features to report hepatic failure histology staging-cholangiocarcinoma staging-hepatocellular carcinoma WHO classification. This can also lead to a sunken appearance in the middle of the face midface hypoplasia wide-set. Structural or compressive condition of the brain and spinal cord eg cervical spondylosis tumor herniated disc Chiaris malformation Vitamin B 12 deficiency. UpToDate electronic clinical resource tool for physicians and patients that provides information on Adult Primary Care and Internal Medicine Allergy and Immunology Cardiovascular Medicine Emergency Medicine Endocrinology and Diabetes Family Medicine Gastroenterology and Hepatology Hematology Infectious Diseases Nephrology and Hypertension Neurology. There are a wide variety of conditions that can be considered in the differential diagnosis of a Chiari malformation.
Tinnitus is the sensation of hearing a sound in the absence of an internal or external source and is a common problem encountered in primary care. As the official journal of two of the largest American associations in its specialty this leading monthly enjoys outstanding editorial leadership and maintains rigorous selection standards.

The Chiari Malformations Journal Of Neurology Neurosurgery Psychiatry

Chiari Malformations Radiology Ct Mri Youtube

Chiari I Malformation Radsource

Chiari I Malformation Radsource

Acquired Chiari I Malformation A Differential Diagnosis In Severe Postdural Puncture Headache Semantic Scholar

Chiari I Malformation Radsource

Pathology Outlines Arnold Chiari Malformation
![]()
Arnold Chiari Malformation Physiopedia

Examples Of Chiari Malformation Cm Subtypes A Upper Cm Type 1 Download Scientific Diagram
Arnold Chiari Malformation Radiology And Basic Concepts World Surgery Forum
Arnold Chiari Malformation Radiology And Basic Concepts World Surgery Forum
Arnold Chiari Malformation Radiology And Basic Concepts World Surgery Forum

Chiari I Malformation Radiology Reference Article Radiopaedia Org

Posting Komentar untuk "Chiari Malformation Differential Diagnosis"